Man has massive, rotting scrotum removed after avoiding doctors for decades

After three decades of progressive symptoms, a 43-year-old man from Panama was rushed into emergency surgery with a massively swollen scrotum that hung past the level of his knees and had begun to rot and ooze foul-smelling pus, a team of Texas doctors report.

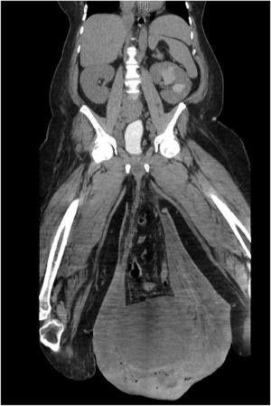
When he arrived at the hospital, he had a fever of 102.2 °F (39 °C) and rapid heart rate, as well as extensive swelling and thickened skin in his scrotum and upper right leg. He also had two open wounds in his scrotum. Further imaging of his abdomen and pelvis revealed a large hernia containing part of his colon, as well as a huge abscess, considerable tissue damage, and fluid collection. (You can see NSFW images of his condition here)
Fearing the ravages of gangrene and sepsis—a life-threatening response to infection—the doctors quickly wheeled him to an operating room to try to remove the rotting flesh. Pathologists examining tissue from his scrotum found extensive inflammation and that some of his skin had begun to liquify.
Though days of intravenous antibiotics seemed to improve his surgical wounds, his painful infection lingered. Doctors made the call to remove his left testicle and scrotum, as well as repair his hernia with a biological mesh. Doctors also performed plastic surgery in subsequent operations to repair his perineum and penis, which had become “buried” by his extremely large scrotum.
After four weeks in a rehabilitation facility, the man was reported to be “healing well with satisfactory cosmetic and functional outcomes.”
Diagnosis
Though blood testing did not definitively determine what caused his extreme case, the doctors suspect that it started with untreated lymphatic filariasis, a parasitic disease caused by roundworms that are transmitted by mosquitoes bites.
Once delivered to the body, the worms take up residence in the lymph system, causing inflammation. Though most infected people show no symptoms, some can go on to develop lymphedema (tissue swelling), elephantiasis (skin and tissue thickening), and such scrotal swelling, called hydrocele. Left untreated, dysfunction of the lymphatic system can pave the way for bacterial infections to set in.
By the time the man arrived in the hospital, he reported that he had come to rely on a walker to get around and that his mother took care of most of his daily needs.
His case, published online this month in the journal Urology Case Reports, is rare in the developed world—but challenging to treat.
In their conclusion, the doctors, led by Katherine Dowd of the Texas health system Baylor Scott & White Health, write, “This case highlights the management of a patient requiring emergent intervention and multidisciplinary approach in the acute care setting.” With their treatment plan, “the patient was spared prolonged wound care, painful dressing changes, without sacrificing cosmetic and functional outcomes.”
According to the Centers for Disease Control and Prevention, lymphatic filariasis affects more than 120 million people in 72 countries in the tropics and subtropics of Asia, Africa, the Western Pacific, and parts of the Caribbean and South America. In the Americas, the disease is endemic in only Haiti, the Dominican Republic, Guyana, and Brazil.
Urology Case Reports, 2019. DOI: 10.1016/j.eucr.2019.101013 (About DOIs).
https://arstechnica.com/?p=1588083